Architekci pięknego uśmiechu

Nowoczesne laboratorium protetyczne na zagranicznym poziomie już w Raciborzu. Pragniemy zaprezentować Państwu nowoczesną, specjalistyczną pracownię protetyczno – ortodontyczną z siedzibą w Raciborzu przy ul. Mickiewicza 18 (III piętro), której założycielami są: inż.tech.dent Agnieszka Pater oraz inż.tech.dent Izabela Ogierman.
Od początku współpracy OrthoProtetic Point oraz iDent założyłyśmy sobie jeden cel: dostarczanie usług protetycznych i ortodontycznych na najwyższym poziomie wymagającej grupie pacjentów.
Jakość i perfekcja
Organizując pracownię protetyczną miałyśmy kilka fundamentalnych założeń:
- nie uznajemy żadnych kompromisów jakościowych – stosujemy wyłącznie najlepsze rozwiązania oraz materiały
- wszystko co robimy, robimy z myślą o pacjencie
- optymalizujemy koszty, aby móc dostarczyć najwyższą jakość usługi w optymalnej cenie.
- do każdej pracy protetycznej mamy indywidualne podejście – nie traktujemy uzupełnień protetycznych masowo
- wykonując każdą pracę protetyczną pracujemy do momentu, aż pacjent osiągnie pełną satysfakcję ze swojego nowego uśmiechu
- poprzez nieustanne szkolenia tworzymy zgrany duet, potrafiący poradzić sobie z każdym problemem z zakresu protetyki stomatologicznej oraz ortodoncji.
Jedyna taka pracownia
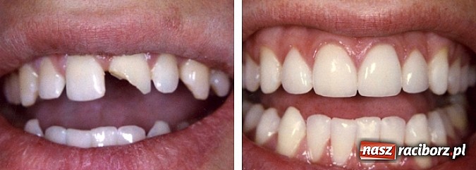
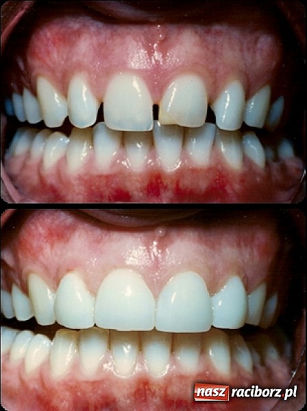
Jesteśmy jedyną pracownią na rynku lokalnym, która oferuje pełen zakres usług protetyczno-ortodontycznych: korony na implantach, korony i licówki tłoczone, korony porcelanowe na podbudowie cyrkonowej, korony i wkłady (inlay’e, onlay’e) kompozytowe, protezy szkieletowe na zatrzaskach, protezy nylonowe i acetalowe a także aparaty ortodontyczne – lecznicze i retencyjne oraz szyny wybielające i rehabilitacyjne. Oferujemy również wzmacnianie złamanych protez włóknami szklanymi. Pracujemy na nowoczesnym sprzęcie który w połączeniu z dokładnością i techniką wykonania daje doskonałe efekty końcowe. Na każdą pracę protetyczną pacjent otrzymuje certyfikat jakości oraz 24-miesięczną gwarancję. Posiadamy umowę z Narodowym Funduszem Zdrowia.
Specjalistyczna pracownia protetyczno – ortodontyczna
Racibórz ul. Mickiewicza 18 (III piętro, dawniej siedziba Only You)
inż.tech.dent. Agnieszka Pater (663 522 363)
inż.tech.dent. Izabela Ogierman (508 338 041)


























![Pierwsza gala sportowa Unii Racibórz w RCK. Nagrody, podziękowania i wzruszające pożegnania [FOTO i WIDEO] Pierwsza gala sportowa Unii Racibórz w RCK. Nagrody, podziękowania i wzruszające pożegnania [FOTO i WIDEO] - Serwis informacyjny z Raciborza - naszraciborz.pl](photos/_thumbs/mini_1766091358gala-unia-.jpg)




































Komentarze (0)
Komentarze pod tym artykułem zostały zablokowane.